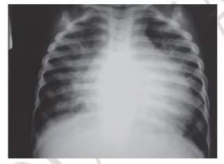
Lactente, 1 ano e 8 meses, trazido ao pronto-socorro, pois há 1 dia apresenta desconforto respiratório e irritabilidade. Ao exame físico: REG, sudorese profusa e palidez; murmúrio vesicular + em ambos hemitóraces, com estertores difusos; frequência respiratória: 60 incursões/minuto, saturação de O²: 95%, em ar ambiente, repouso, com tiragem subdiafragmática e intercostal. Bulhas rítmicas, normofonéticas, sem sopros, frequência cardíaca: 178 batimentos/minuto. Abdome: plano, depressível, indolor à palpação, com fígado palpável a 4cm do rebordo costal direito. A mãe relata que há 2 semanas a criança apresentou rinorreia, obstrução nasal e febre. Você solicita a radiografia de tórax, reproduzida a seguir. Qual é a hipótese diagnóstica para o caso?
Questão de Clínica Médica — Prova Hospital Infantil Sabará - HIS (2020)
Alternativas
- A) Pneumonia aguda.
- B) Miocardite viral aguda.
- C) Bronquiolite viral aguda.
- D) Síndrome gripal.
- E) Kawasaki incompleto.
